Linda Learns to Trust and to Smile Again

Linda hadn't just had problems with her teeth; she'd had issues with dentists. When seeking help, she encountered dentists who didn't listen to her, cut her off, and talked down to her. That is until she came into Chappaqua Dentistry.

"After all these years, I'm finding a dentist to help me. My life changed from that day when I stepped into this office."

- Linda

Watch Linda's Story

Linda's All-on-4 Dental Implant Journey

Dr. Steven A. Brisman immediately recognized Linda as a fearful patient who'd had bad experiences with dentistry in the past. She knew there were problems with her teeth but didn't know how bad they were. Dr. Brisman knows how important it is to take time with patients who might have had bad experiences in the past.

"It's all about the trust. It's not about your credentials. It's not about where you did your medical training, but that you have their interest at heart."

- Dr. Steven A. Brisman

"He explained everything to me, from the beginning to the end... He explained to me what my options were, what his recommendations were, and he did not pressure me into anything."

- Linda

Complex Needs

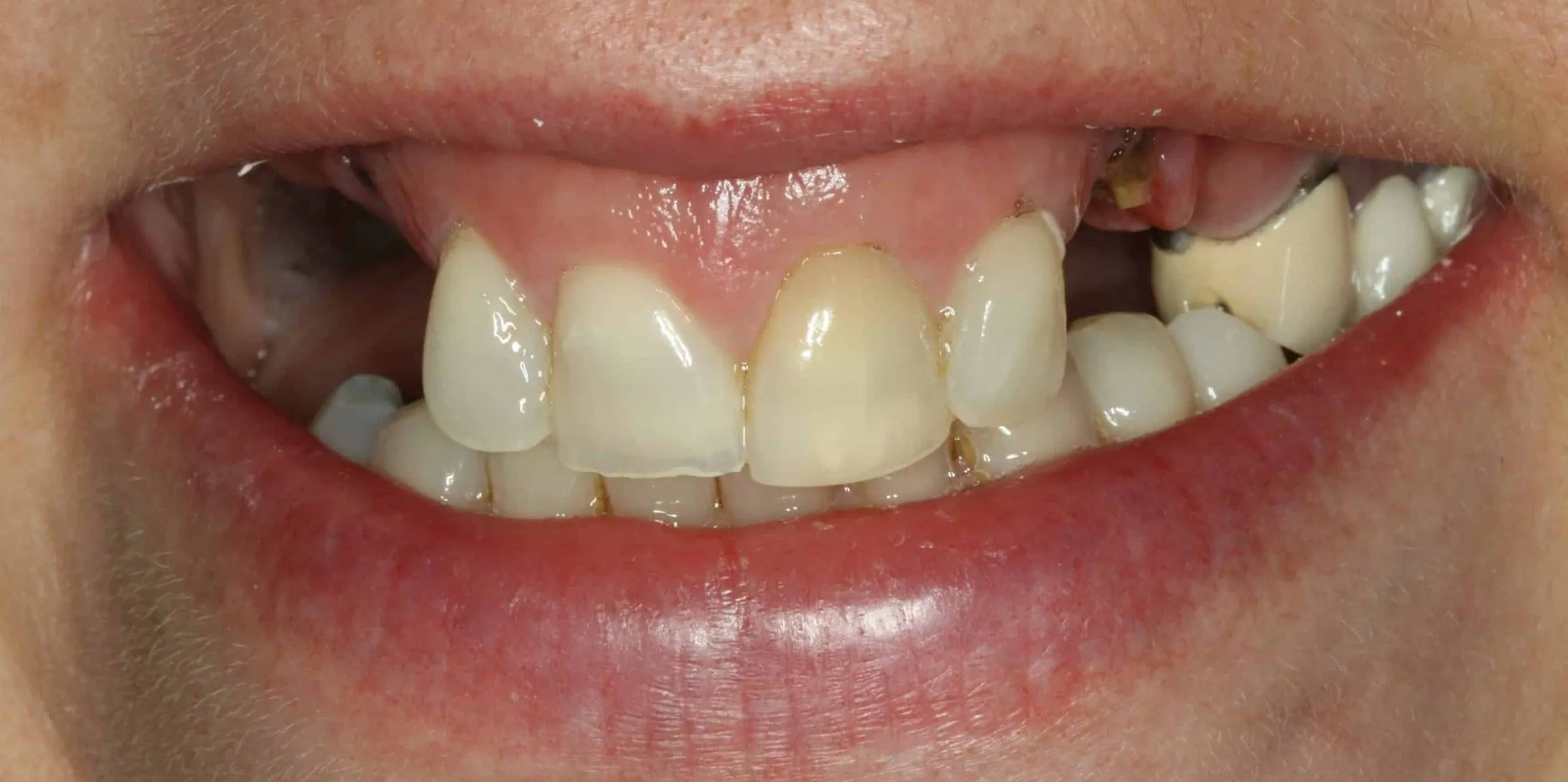
The challenges Linda faced were multidimensional. From a cosmetic perspective, Linda had a gummy smile and an unattractive denture. When she smiled, she displayed a few of her teeth. From a comfort perspective, Linda had a removable denture that was so uncomfortable she could barely wear it, which kept her from going out in public. From a functional standpoint, Linda's teeth were barely functional. She couldn't speak clearly and chew well, making it hard for her to eat. From a health perspective, several of her teeth were hopeless and needed extraction.

Dr. Brisman and his team designed a solution to meet all these needs to give Linda a beautiful, comfortable, functional, and healthy new smile.

Procedure Planning, Extraction, and Healing

Chappaqua Dentistry uses an advanced digital workflow to create a smooth process that delivers outstanding results for each patient. Bringing together a diverse array of specialists in one practice, including periodontists and prosthodontists, helps patients get the care they need at each stage of the process. CBCT scans of Linda's teeth and jaws showed the current state of her teeth and bones, while an intraoral scanner gave a digital picture of her visible mouth.

This data informed a digital workflow which designed and created a new smile. To correct Linda's smile's size and shape, the team would have to remove not just her teeth but some bone material as well. After the initial extractions, Linda wore a removable denture during the healing process.

Before

Linda's smile before treatment - close-up Linda's smile before treatment - portrait

Delivering a New Smile

With her mouth healed, Linda received several dental implants to support her entire upper arch of teeth. The restoration fit over the implants to completely conceal them. The only thing visible is the new restoration, which is a beautifully crafted arch of teeth.

Raising the incisal edge meant that Linda's new smile would not be as gummy as her old one. She could use her new teeth to bite and chew naturally. She told Dr. Brisman that she wanted to be able to bite into an apple again, and now she can. Plus, the position of her teeth and their secure attachment allows her to speak clearly.

Linda loves her new smile and that she found a place where she feels welcome and valued.

After

Linda's smile after treatment - close-up Linda's smile after treatment - portrait

"You don't feel like a patient here; you feel like family."

- Linda

Start Your Own Transformation

No matter your dental concerns, our compassionate team is here to help you achieve the smile you deserve. Call (914) 238-8200.